
Nursing home abuse and neglect put vulnerable residents at serious risk, leading to malnutrition, dehydration, infections, and preventable injuries. When facilities fail to provide adequate care, residents suffer, and families are left feeling helpless. Lack of supervision, improper medical treatment, and unsafe conditions can result in devastating harm. Understanding the warning signs, knowing your legal rights, and holding negligent facilities accountable are crucial steps in protecting your loved ones. Learn how to take action and seek justice.
November 5, 2024
3 min
Lorene Sellers-Pritt died after suffering for thirteen days following an unwitnessed, avoidable fall that resulted in a subdural hematoma (bleeding between her skull and the surface of her brain), which took place while she was under the care of Hickory Ridge Nursing & Rehabilitation Center.
Michael Hill Trial Law is pursuing a lawsuit on behalf of Lorene Sellers-Pritt’s family against Ohio-based nursing facility Hickory Ridge Nursing & Rehabilitation Center, located in Akron, Ohio. Hickory Ridge Nursing & Rehabilitation Center is a part of the Foundations Health Solutions family of companies–which is the largest nursing home chain in the State of Ohio.
The case alleges negligence, wrongful death, civil conspiracy, and violations of nursing home resident rights laws. The lawsuit is Estate of Lorene O. Sellers-Pritt v. FHS Hickory Ridge, Inc. dba Hickory Ridge Nursing & Rehabilitation Center, et al., and is pending in Summit County, Ohio, Case No. CV-2022-10-3583.

The lawsuit states that Lorene Sellers-Pritt became a resident of the memory care unit at Hickory Ridge Nursing & Rehabilitation Center on November 2, 2018. The facility represented to Lorene’s family that she would be monitored 24 hours per day to ensure she was safe.
Within five weeks of being admitted to Hickory Ridge, Lorene fell for the first time under their care. The lawsuit notes that Hickory Ridge staff was not monitoring Lorene when she fell and noted that she was a risk of future falls afterwards. Just a couple of days later, a Hickory Ridge nurse found Lorene sitting on her bed following another unsupervised fall in her room.
The lawsuit further details that Lorene Sellers-Pritt continued to fall over the course of her time at Hickory Ridge Nursing & Rehabilitation Center. Some of her falls were so severe that she needed x-rays to check for fractures and other injuries.
On January 23, 2020, Lorene fell for the last time while under Hickory Ridge’s care and supervision. The lawsuit states that in the early morning hours, Hickory Ridge nursing staff found Lorene lying on her back, with “bright red blood spattered throughout the room and in [her] hair.” The nursing staff applied pressure to a bleeding wound on the back of Lorene’s head until an ambulance arrived to take her to Akron General Medical Center where she was diagnosed with a subdural hematoma.

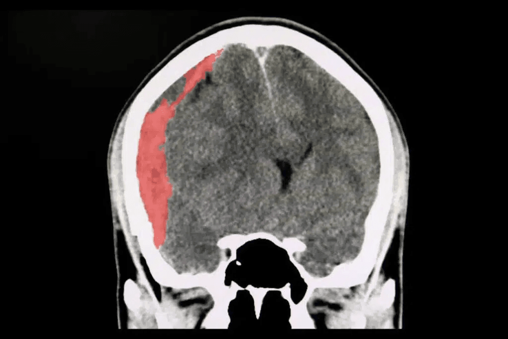
A CT scan of the brain of a patient with trafic accident showing acute subdural hematoma.
A subdural hematoma is a collection of blood outside the brain. Subdural hematomas are commonly caused by a blow to the head when a blood vessel bursts between the lining of the brain and the brain itself. As a result, a collection of blood pools between the brain and the lining of the brain.
The physicians at Akron General Medical Center performed an emergency craniotomy to relieve the pressure on Lorene’s brain. A craniotomy is a major surgery that involves making an incision or removing a piece of bone from the skull to expose the brain and is typically done to reduce extra pressure on the brain in hopes to avoid permanent brain damage.
Lorene Sellers-Pritt ultimately died on February 5, 2020. The lawsuit states that The Summit County Medical Examiner’s Office took jurisdiction over Lorene’s death and ruled the cause of death was “[d]ue to…traumatic brain injury requiring craniotomy” suffered in the fall while she was under the care of Hickory Ridge Nursing & Rehabilitation on January 23, 2020.
Foundations Health Solutions is a for-profit corporation headquartered in North Olmsted, Ohio. It is the largest chain of long-term care facilities located in the State of Ohio. Foundations Health Solutions manages over 60 nursing homes throughout the State. A list of these facilities are at the end of the article.

Michael Hill is a nationally recognized attorney who handles exclusively cases against long term care facilities. Michael and his firm, Michael Hill Trial Law, are headquartered in Cleveland, Ohio but handle cases across the country.
Disclaimer: This information is provided for informational purposes only. Nothing in this article should be construed as providing legal advice or the creation of an attorney client relationship. Laws are updated frequently and change from state to state. If you desire legal advice, you can contact Michael Hill Trial Law at www.protectseniors.com, send an email to info@protectseniors.com, call (800) 659-2712 to begin an investigation, or contact another attorney.